已于青岛2024年啤酒节首次使用。通过实时视频对人流进行识别、区域范围内排队人数进行识别,以及上下车人数进行识别,用于大调度和实时调度提供辅助决策支持。
已应用于银行总行和省行,以统一平台为根本,整合规范各类系统,解决数据孤岛,做统一管控,同时用于新业务需求在统一平台上快速实现(再生)。人才盘点、离职、业务交接等等人力相关模块以及绩效面谈、干部管理、绩效考核、平衡记分卡、党建、风险管控、流程审批、业务监测等等各类业务管理。特别是BSC平衡计分卡,平台内置计算公式自解析,结合多年业务深耕经验,成为业界实用典范。
绩效考核利器,真正通过数据对前、中、后台部门和个人进行快速,客观、精确评价。
已应用于韩国某大型集团企业,系统主要从三大方面入手,完成了薪酬福利、绩效考核、考勤管理三大模块。同时系统也涉及到了企业管理的其他方面。帮助企业建立健全了薪酬福利制度和绩效考核制度,激发了员工的积极性以及创造性,提高了企业的凝聚力,提高了人力资源管理的透明度;同时与现有的考勤模式对接,系统自动完成考勤统计,避免了因人工计算错误产生的人工成本,同时解放了人力资源部门的工作,使之更好得参与到企业的制度健全和决策中。
从人力、仓储、销售、采购、生产排程(排产、生产计划)、生产(工艺工序)、设备、质检、流程审批等等除财务外 (和财务软件对接)全流程、全业务进行统一管理,已为多家制造业工厂定制并成功应用。
利用算法及AI,集PC端以及可移动一体机和PDA终端,结合信息技术,助力设备装备维修保养。
使用AI排产排版算法,通过选择订单产品,根据零部件大小、剪裁要求以及订单数量自动智能生成排版图纸。图纸在不借助AutoCAD等第三方软件的前提下,支持在线排版图纸预览、导出图片、导出CAD格式的dxf和dwg以及导出pdf。
已成功应用于某大学,是该校教学科研单位和非教学科研单位的全面绩效提供了数字化管理平台,目前该平台是目标绩效管理办公室的重要工具平台,为全校的目标绩效管理工作提供主要的支撑。
从顾客预约、下单、物流运输、洗涤、送回等洗涤业务全流程管理,还有小商城功能。以移动端为主。
从商品入库、出库、收银销售,会员等全流程管理。
集卫星、无人机、测绘普查设备数据采集、加工、制作,地图发布及应用于一体,服务智慧城市。
集管线普查数据一键入库并带数据核查,地图发布,生成2维和3维管线图,对爆管、火灾进行突发场景的分析处理,以及施工道路横断面分析,覆土分析等,提供决策辅助。
已应用于某汽车集团企业,通过AI算法,智能进行仓库选址,并进行运输路线优化,通过算法和系统降低运输和运营成本。
应用于公交车、工程车辆,通过车载机tbox实时获取车辆定位、车速、油耗、发动机转速以及故障等信息,实时上传到云平台。识别驾驶员行为,用于监测车辆状况和驾驶员有无违规行为。结合业务系统对作业、车辆和人员进行全方位管控。
用于医院医疗设备的监测,已在国内多家以及国外部分医院使用。医疗设备向云平台实时发送操作、运行数据以及故障码。云端通过算法基于故障码等基础数据,预测设备重大故障,手机端推送给运维人员提前到场运维。对小微故障,推送给运维人员,由运维人员及时给使用人员打电话告知排除故障操作步骤。避免了每家医院都需要驻场,极大节省人工。
包含喷播设备物联模块在内的业务统一管理平台,已应用于青岛某上市企业,集人力管理、计划管理、项目管理、实绩登录考核管理、薪资计算发放、统计分析等于一体的业务统一管理平台。
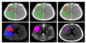
已应用于西医医疗设备医疗诊断和中医诊断,为诊疗提供辅助决策支持。
已应用于发票、票据、血压、水电燃气等仪表数据的数字、字母、中文、日文的OCR识别。
利用AI视觉技术实现生产环境下疑似违规行为的识别告警,提供通用场景算法以及专用需求算法的智能分析。
利用AI视觉技术实现生产环境下对作业中各类违章违纪行为精准捕捉、高效处理和深度分析,提高安全管理水平、降低事故风险。
利用AI对电池进行自动化设计,同时对电池设计进行AI分析,生成设计和性能分析报告。
已成功应用于公交集团,并成为省市级大数据应用典范,通过AI算法,结合调度、区间时段电价、以及电池性能生命周期,智能安排车辆充电时间、对应充电枪以及充电电量,在满足业务需求的同时,达到电费最省。